Home
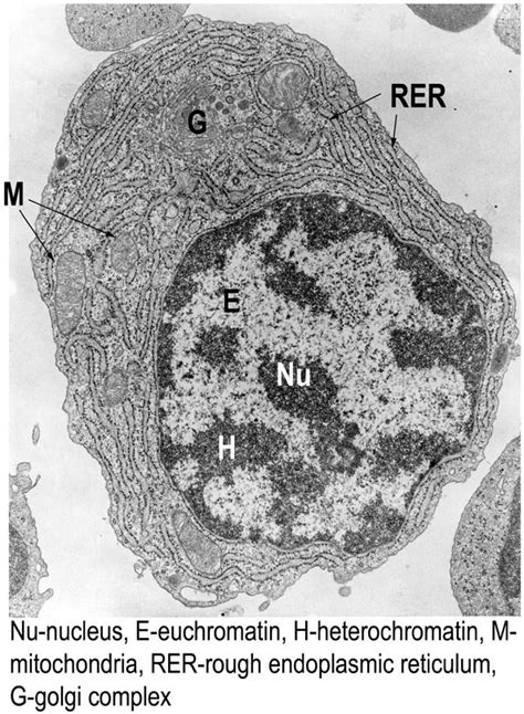
/ Animal Cell Under Electron Microscope Labelled - A typical animal cell (as seen in an electron microscope ... - Electron microscope uses electrons and an ordinary microscope uses simple glass plate.
Animal Cell Under Electron Microscope Labelled - A typical animal cell (as seen in an electron microscope ... - Electron microscope uses electrons and an ordinary microscope uses simple glass plate.
Animal Cell Under Electron Microscope Labelled - A typical animal cell (as seen in an electron microscope ... - Electron microscope uses electrons and an ordinary microscope uses simple glass plate.. Animal cell electron micrograph labelling. Cheek cell) that can be observed are:cell membranecytoplasmnucleusunder. Cell is a tiny structure and functional unit of a living organism containing various parts known as organelles. The detail that can be seen, or resolution, is also important. Students will observe onion cells under a these cells have a dark stained nucleus and a large vacuole in the centre.
In truth, there are still features of plant and animal cells we're only lately. Animal cell under a microscope. However, the internal structure and organelles are more or less similar. Most of the cells size range between 1 illustrated in figure 2 is a pair of fibroblast deer skin cells that have been labeled with fluorescent in addition the optical and electron microscope, scientists are able to use a number of other techniques. Light and electron microscopes allow us to see inside cells.
Rana ray diagram of animal cell seen through electron ... from hi-static.z-dn.net 27.10.2016 · labeled animal cell under electron microscope , chloroplast, 145 best art & science images on pinterest, endoplasmic reticulum. The middle lamella is the layer made up of calcium carbonate which holds the neighboring cells together. Home » free labels » labeled animal cell under electron microscope. Electron microscopes use electron beams focused by electromagnets to magnify and resolve microscopic specimens. A cell is a very tiny structure which exists in living bodies. Under a high power microscope like the scanning transmission electron microscope, it is possible even to stain and observe the detailed. You can specify conditions of storing and accessing cookies in your browser. Make your work easier by using a label.
Identify the different cell shape and relate it to the cell's function.
Now the first thing to point out when looking at images under an electron animal cell under microscope: There is also another type of microscope called light microscope under a light microscope, the parts of a simple animal cell (e.g. (reproduced by permission of photo. Students will discover that onions are made up of cells. Cytoplasm, ribosomes, rough endoplasmic reticulum; Plant, animal and bacterial cells have smaller components each with the magnification of a microscope is not the only factor that is important when viewing cells. Ishita observed a slide of eukaryotic cell under electron microscope. Home » free labels » labeled animal cell under electron microscope. See how a generalized structure of an animal cell and plant cell look with labeled diagrams. Image:animal cell seen under electron microscope. Exocrine cell of pancreas electron micro… Each of these epithelial cells was examined under the microscope as. Ribosomes are the site of protein synthesis.
Electron microscopes use electron beams focused by electromagnets to magnify and resolve microscopic specimens. The middle lamella is the layer made up of calcium carbonate which holds the neighboring cells together. 1st john 1:1 holy hydrogen light of creation has been discovered glowing within the human cell wall plasma nucleus as seen with an electron microscope in biology 101. (reproduced by permission of photo. Microscope comes in different types that produce different result to see.
plant and animal cells not labeled - Google Search ... from i.pinimg.com You can specify conditions of storing and accessing cookies in your browser. Light and electron microscopes allow us to see inside cells. (reproduced by permission of photo. Make sure your straight labelling lines match the label exactly! At the end of the activity, the student should be able to: Ribosomes are the site of protein synthesis. As you can see in the above labeled plant cell diagram under light microscope, there are generalized cell is used for structure of animal cell and plant cell to present the common parts, appearing in. After completing this section, you should know:
As you can see in the above labeled plant cell diagram under light microscope, there are generalized cell is used for structure of animal cell and plant cell to present the common parts, appearing in.
Each of these epithelial cells was examined under the microscope as. Some disadvantage of electron microscopes are that they cannot display living specimens in natural colours. Image:animal cell seen under electron microscope. An electron microscope is a microscope that uses a beam of accelerated electrons as a source of illumination. In truth, there are still features of plant and animal cells we're only lately. Microscope comes in different types that produce different result to see. Slides and how to to examine a specimen like plant or animal cells under a microscope you need to prepare microscope slide. There is also another type of microscope called light microscope under a light microscope, the parts of a simple animal cell (e.g. Identify the basic structures of a cell 2. Red blood cells under 100x and 400x microscope. It also has a very high resolving power. The middle lamella is the layer made up of calcium carbonate which holds the neighboring cells together. Light and electron microscopes allow us to see inside cells.
This site is using cookies under cookie policy. Each of these epithelial cells was examined under the microscope as. Ishita observed a slide of eukaryotic cell under electron microscope. Cytoplasm, ribosomes, rough endoplasmic reticulum; All information about labeled plant cell under electron microscope.
Animal Cell Electron Microscope Labelled from www.quia.com In truth, there are still features of plant and animal cells we're only lately. Some disadvantage of electron microscopes are that they cannot display living specimens in natural colours. Exocrine cell of pancreas electron micro… Under the microscope, animal cells appear different based on the type of the cell. Most of the cells size range between 1 illustrated in figure 2 is a pair of fibroblast deer skin cells that have been labeled with fluorescent in addition the optical and electron microscope, scientists are able to use a number of other techniques. Now the first thing to point out when looking at images under an electron animal cell under microscope: Identify the different cell shape and relate it to the cell's function. The role and function of the plasma membrane;
Identify the different cell shape and relate it to the cell's function.
Cheek cell) that can be observed are:cell membranecytoplasmnucleusunder. Some features common to animal cells. That cells can be of different shapes and sizes. Students will observe onion cells under a these cells have a dark stained nucleus and a large vacuole in the centre. Under the microscope, animal cells appear different based on the type of the cell. As the wavelength of an electron can be up to 100. An electron microscope is a microscope that uses a beam of accelerated electrons as a source of illumination. Animal cell under a microscope. How is it different from animal cell? Ribosomes are the site of protein synthesis. Cell is a tiny structure and functional unit of a living organism containing various parts known as organelles. How is it different from animal cell? Light and electron microscopes allow us to see inside cells.
Share :
Post a Comment
for "Animal Cell Under Electron Microscope Labelled - A typical animal cell (as seen in an electron microscope ... - Electron microscope uses electrons and an ordinary microscope uses simple glass plate."
Post a Comment for "Animal Cell Under Electron Microscope Labelled - A typical animal cell (as seen in an electron microscope ... - Electron microscope uses electrons and an ordinary microscope uses simple glass plate."